Teeth Cleaning



Teeth Cleaning (Dental Scaling)
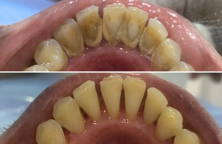
Professional teeth cleaning, also called Dental Scaling, is a safe and effective procedure that removes plaque, tartar, and stains from your teeth and gumline.
Even with regular brushing and flossing, deposits build up over time. Scaling helps prevent gum disease, cavities, and bad breath, while giving you a brighter and healthier smile.
Why do Teeth cleaning (Scaling)?
Many people think brushing is enough. However, scaling has long-term benefits:
Prevents gum disease and bleeding gums
Reduces risk of tooth decay and cavities
Removes stubborn tartar and stains
Eliminates bad breath caused by plaque buildup
Keeps your smile fresh, clean, and confident
Need An Appointment?
We are here to help.
Walk into our clinic and let us take a closer look to suggest the best treatment you need.
Signs You May Need Teeth cleaning (Scaling)
You may require professional scaling if you notice:
- Yellowish or brown stains on teeth
- Bad breath that doesnโt go away with brushing
- Swollen, red, or bleeding gums
- Tartar deposits around gumline
- Sensitivity or mild gum recession
Teeth cleaning (Scaling) โ Step by Step
At Risus Multi Speciality Dental Clinic, our dental scaling procedure is gentle, systematic, and effective.
- We begin with an oral check-up to assess tartar buildup, followed by ultrasonic scaling to remove plaque and deposits. Water flushing keeps the process cool and comfortable, while polishing eliminates surface stains for a smooth finish.
- Finally, a refreshing rinse leaves your teeth clean, bright, and healthy.
Aftercare & Recovery Tips
To maintain results after scaling:
Brush twice daily with a soft-bristle toothbrush
Floss regularly to prevent plaque buildup
Use a non-alcoholic mouthwash if prescribed
Avoid smoking, tea, coffee, and staining foods for 24โ48 hrs
Visit your dentist every 6 months for regular cleaning
Cost of Teeth cleaning (Scaling) in Kalyan
The cost of dental scaling depends on:
Extent of tartar and stain buildup
Number of sittings required
Any additional treatments (like polishing or deep cleaning)
At Risus Multi Speciality Dental Clinic, Kalyan, we provide affordable scaling packages starting from just โน500. Our pricing is transparent and ensures high-quality care without compromise.
Frequently Asked Questions (FAQs)
No. Scaling is a comfortable, painless procedure with ultrasonic tools.
Ideally every 6 months, or more often if you have gum problems.
No. Scaling only removes deposits, it does not harm tooth enamel.
Mild sensitivity may occur for a day or two but settles quickly.
Scaling removes stains and makes teeth look cleaner and brighter. However, for significant whitening, professional teeth whitening may be advised.
Posted on Rupali JadhavTrustindex verifies that the original source of the review is Google. Had a great experience at Risus Multi Speciality Dental Clinic! ๐ Dr. Supriya is very gentle and explains everything clearly. I got my teeth cleaning and whitening done, and the results are amazing! Highly recommend this clinic to anyone in Kalyan looking for professional and friendly dental care.Posted on Mahesh DhanawadeTrustindex verifies that the original source of the review is Google. Excellent Service & treatment by Risus.Posted on VIJAY SANGALETrustindex verifies that the original source of the review is Google. ExI had been putting off my dental checkup for a while, but finally visited Risus Dental Clinic, Kalyan. Dr. Supriya did my teeth cleaning and fillings, and I must say the whole experience was very smooth. She explained each step, made sure I was comfortable, and the treatments were absolutely painless. Really glad I chose this clinic, it feels good to finally smile with confidence again.cellent experience! Good Drs with patient friendly approach. Quite affordable charges !๐Posted on SHAIKH NIYAZTrustindex verifies that the original source of the review is Google. I visited Risus Dental Clinic, Kalyan for my root canal treatment with Dr. Supriya. She explained everything clearly and did the procedure very smoothly. I felt comfortable throughout and Iโm really happy with the treatment.Posted on aishwarya dhuleTrustindex verifies that the original source of the review is Google. Had my teeth cleaning done by Dr. Supriya at Risus Dental Clinic. She was super gentle and made the whole process easy. Definitely the best dentist in Kalyan!Google rating score: 5.0 of 5, based on 91 reviewsVerified by TrustindexTrustindex verified badge is the Universal Symbol of Trust. Only the greatest companies can get the verified badge who has a review score above 4.5, based on customer reviews over the past 12 months. Read more
