Braces




Braces
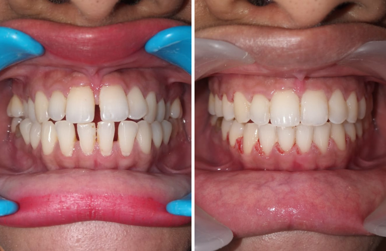
Braces treatment is one of the most effective orthodontic solutions to correct crooked, crowded, or misaligned teeth. They use brackets and wires to gradually move teeth into their proper position, improving both smile aesthetics and bite function.
Types of Braces: At Risus Multi Speciality Dental Clinic, we provide multiple types of braces to suit individual needs:
- Metal Braces
- Ceramic Braces
- Self-Ligating Braces
- Lingual Braces
Why Choose Braces?
Braces are ideal for patients of all ages and are especially effective in cases where:
Teeth are crowded or overlapping
There are gaps between teeth
Bite issues like overbite, underbite, or crossbite exist
Jaw alignment needs correction
Teeth need major movement for proper positioning
Need An Appointment?
We are here to help.
Walk into our clinic and let us take a closer look to suggest the best treatment you need.
Our Braces Procedure – Step by Step
- The braces treatment begins with an initial consultation and X-ray (OPG) to thoroughly assess the alignment of your teeth and jaws.
- In some cases, if there is severe crowding or lack of space, tooth extraction may be recommended before starting braces to allow proper alignment.
- Based on the findings, a detailed treatment plan is created by the orthodontist to decide the most suitable type of braces for your case.
- Once finalized, the braces are placed—whether metal, ceramic, or lingual—depending on your preference and treatment needs.
- Throughout the course of treatment, monthly adjustments are carried out to gradually guide your teeth into proper alignment.
- After the active treatment is completed and the desired results are achieved, retainers are provided to maintain the new position of your teeth and ensure long-lasting results.
Aftercare for Braces
Brush and floss carefully around brackets and wires
Avoid sticky, chewy, and hard foods
Use orthodontic wax for bracket irritation
Attend regular follow-ups for adjustments
Cost of Braces in Kalyan
The cost of braces depends on the type of braces chosen, the complexity of the case, and the duration of treatment. Metal braces are generally the most affordable and effective option, while ceramic braces are slightly more expensive due to their aesthetic advantage. Lingual braces and self-ligating braces fall into the premium category, as they require advanced customization and technology. During your consultation, the orthodontist will provide a personalized treatment plan along with the estimated cost based on your specific needs.
Frequently Asked Questions (FAQs)
Mild discomfort may occur after adjustments, but it subsides in a few days.
Treatment usually takes 12–24 months, depending on severity.
Yes, braces are effective for both teenagers and adults.
Yes. Retainers help maintain results and prevent teeth from shifting back.
Posted on Rupali JadhavTrustindex verifies that the original source of the review is Google. Had a great experience at Risus Multi Speciality Dental Clinic! 😄 Dr. Supriya is very gentle and explains everything clearly. I got my teeth cleaning and whitening done, and the results are amazing! Highly recommend this clinic to anyone in Kalyan looking for professional and friendly dental care.Posted on Mahesh DhanawadeTrustindex verifies that the original source of the review is Google. Excellent Service & treatment by Risus.Posted on VIJAY SANGALETrustindex verifies that the original source of the review is Google. ExI had been putting off my dental checkup for a while, but finally visited Risus Dental Clinic, Kalyan. Dr. Supriya did my teeth cleaning and fillings, and I must say the whole experience was very smooth. She explained each step, made sure I was comfortable, and the treatments were absolutely painless. Really glad I chose this clinic, it feels good to finally smile with confidence again.cellent experience! Good Drs with patient friendly approach. Quite affordable charges !👍Posted on SHAIKH NIYAZTrustindex verifies that the original source of the review is Google. I visited Risus Dental Clinic, Kalyan for my root canal treatment with Dr. Supriya. She explained everything clearly and did the procedure very smoothly. I felt comfortable throughout and I’m really happy with the treatment.Posted on aishwarya dhuleTrustindex verifies that the original source of the review is Google. Had my teeth cleaning done by Dr. Supriya at Risus Dental Clinic. She was super gentle and made the whole process easy. Definitely the best dentist in Kalyan!Google rating score: 5.0 of 5, based on 91 reviewsVerified by TrustindexTrustindex verified badge is the Universal Symbol of Trust. Only the greatest companies can get the verified badge who has a review score above 4.5, based on customer reviews over the past 12 months. Read more
